
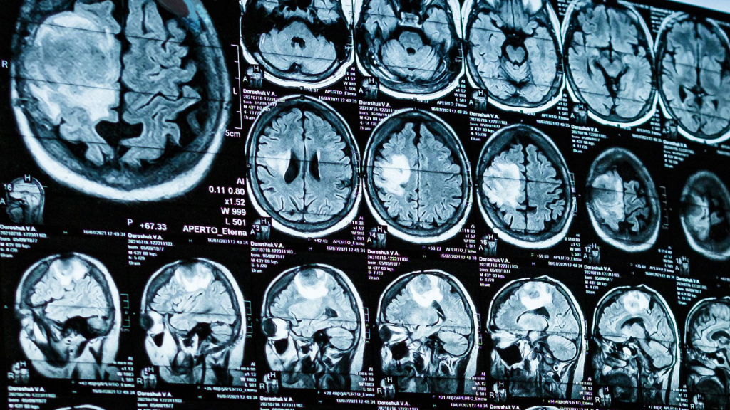
“Hidden Brain Signal” Could Flag Alzheimer’s Years Before Symptoms – FIU Study Points to TSPO as an Early Warning Sign
In‑Depth Report Background: What is TSPO and why focus on it? TSPO (translocator protein, 18 kDa) is a stress‑response protein that sits in glial cell mitochondria. In a healthy brain it’s expressed at low levels; when homeostasis is disrupted, glia—especially microglia—can ramp